你知道吗?现在科技真是发达得不得了,连牙齿种植都能通过视频来学习啦!是不是听起来有点不可思议?别急,让我带你一起探索这个神奇的成人牙齿种植技术视频世界。

你知道吗,牙齿种植技术的历史可追溯到上世纪60年代。那时候,医生们就开始尝试将人工牙齿植入患者的牙槽骨中。而如今,随着科技的发展,牙齿种植技术已经变得非常成熟和普及。
在这个视频中,你可以看到从术前准备到术后护理的每一个环节。医生们会详细讲解如何进行口腔检查、设计种植方案、植入种植体以及修复牙齿等步骤。是不是觉得有点眼花缭乱?别担心,视频里的讲解非常清晰易懂。

别看牙齿种植听起来复杂,其实通过视频学习,你也可以成为一个小达人哦!这些视频通常由经验丰富的牙科医生亲自讲解,他们会用通俗易懂的语言和生动形象的动画演示,让你轻松掌握种植技术。
比如,视频中会展示种植体的植入过程,从切开牙龈、暴露牙槽骨、植入种植体到缝合伤口,每一个步骤都看得清清楚楚。而且,视频还会告诉你如何选择合适的种植体、如何进行术后护理等实用信息。

在观看视频的过程中,你是不是会有很多疑问?别担心,视频通常设有互动问答环节。你可以随时在评论区留言,提出自己的问题。牙科医生会及时回复,为你解答疑惑。
这种互动方式不仅让你在学习过程中更加轻松愉快,还能让你对牙齿种植技术有更深入的了解。而且,很多牙科医院还会定期举办线上讲座,邀请专家为你解答更多问题。
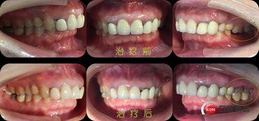
在视频的通常会展示一些真实案例。这些案例来自不同年龄、不同职业的患者,他们因为牙齿缺失而痛苦不堪,但在接受了牙齿种植手术后,笑容重现,生活品质得到了极大提升。
这些案例不仅让你看到了牙齿种植技术的神奇效果,还能让你对手术过程有更直观的了解。相信看到这些案例,你一定会对牙齿种植充满信心。
虽然牙齿种植技术已经非常成熟,但在进行种植手术之前,还是有一些注意事项需要了解。
首先,要选择正规的牙科医院和经验丰富的医生。其次,要确保自己的口腔健康状况良好,没有严重的牙周病或其他口腔疾病。此外,还要注意术后护理,避免感染等问题。
在视频的医生会详细讲解这些注意事项,让你在种植过程中更加安心。
通过这些牙齿种植技术视频,你不仅可以学到专业知识,还能在轻松愉快的氛围中了解手术过程。快来一起探索这个神奇的领域吧!相信在不久的将来,你也能拥有健康美丽的牙齿。
本文由admin于2026-04-01发表在动漫巨乳美女,如有疑问,请联系我们。
本文链接:https://dydspzxb.com/post/965.html
上一篇
成人展走秀视频